Book Online
New Patients
:
(718) 412-9450
Existing Patients
:
(718) 721-4700
31-56 Steinway Street, Astoria, NY 11103
Our Office
31-56 Steinway Street
Astoria
,
NY
11103
New Patients:
(718) 412-9450
Existing Patients:
(718) 721-4700
Visit Us Online
About Us
Our Office
Our Team
New Patients
Smile Gallery
Testimonials
Dental Videos
Our Doctors
Tony Chen, DDS
Richard Manuelian, DDS
Dr. Maryam Kashani-Naghi
Dr. Nicole Lam
Dr. Sung Park
Dr. May Ma
Dr. Harkanwal Kanwal
Services
Dental Cleanings
Dental Sealants
Emergency Treatment
Extractions
Fluoride Treatment
Night Guards
Oral Cancer Screening
Oral Exams
Pediatric Dentistry
Periodontal Treatment
Preventative Program
Root Canals
Sleep Apnea
Snoring Appliances
Sports Mouthguards
TMJ Disorders
All-on-4®
All-on-6®
Dental Bridges
Dental Fillings
Dentures
Implant Dentistry
Implant Restorations
Inlays & Onlays
Ceramic Crowns
Cosmetic Dentistry
Teeth Whitening
Veneers
ZOOM! Whitening
Dental Lab
Digital Radiography
ITero® Intraoral Scanner
Laser Dentistry
Invisalign®
Orthodontic Retainers
Dental Health
Contact
Request Appointment
Address:
31-56 Steinway Street, Astoria, NY 11103
Existing Patients:
(718) 721-4700
New Patients:
(718) 412-9450
Social:
Request Appointment
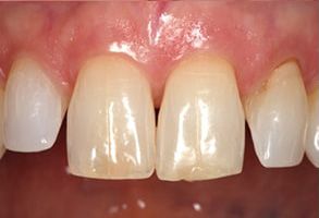
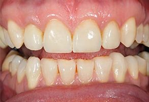
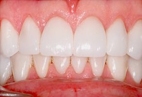
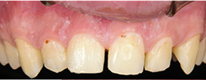
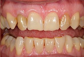
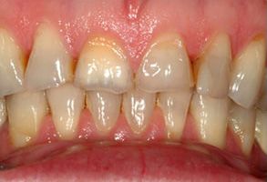
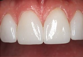
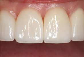
Smile Gallery
Before
After
Before
After
Before
After
Before
After
Before
After
Before
After
Before
After
Before
After
Before
After
Our Office
31-56 Steinway Street
Astoria
,
NY
11103
New Patients:
(718) 412-9450
Existing Patients:
(718) 721-4700
Visit Us Online
Our Office
31-56 Steinway Street
Astoria
,
NY
11103
New Patients:
(718) 412-9450
Existing Patients:
(718) 721-4700
Visit Us Online
Explore More
New Patients
Our Office
Our Services
Testimonials
Our Doctors
Request Appointment
Dental Videos
Blog
Get in Touch
Phone:
New Patients:
(718) 412-9450
Existing Patients:
(718) 721-4700
Email:
astoriamodernfamilydental@HIPAA-doctorsinternet.com
Address:
31-56 Steinway Street, Astoria, NY 11103
Hours of Operation
Monday
10:00 am - 7:00 pm
Tuesday
10:00 am - 7:00 pm
Wednesday
10:00 am - 7:00 pm
Thursday
10:00 am - 7:00 pm
Friday
10:00 am - 7:00 pm
Saturday
8:00 am - 3:00 pm
Our Office
31-56 Steinway Street
Astoria
,
NY
11103
New Patients:
(718) 412-9450
Existing Patients:
(718) 721-4700
Visit Us Online
© 2026 Astoria Modern Family Dental. All Rights Reserved. |
Accessibility Policy
Dentist Website Design
Astoria Dentist | Dentist in Astoria | Dental Services Astoria